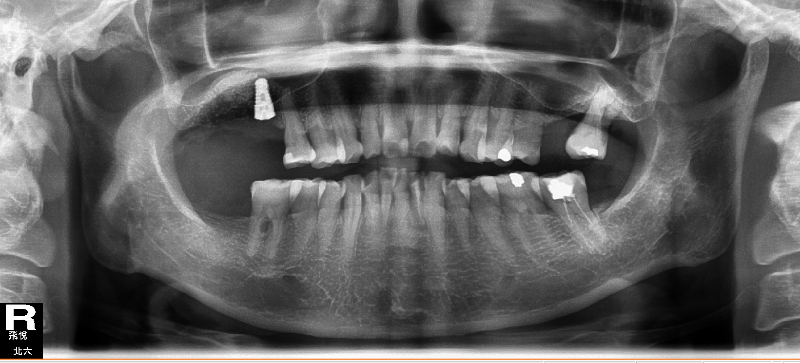
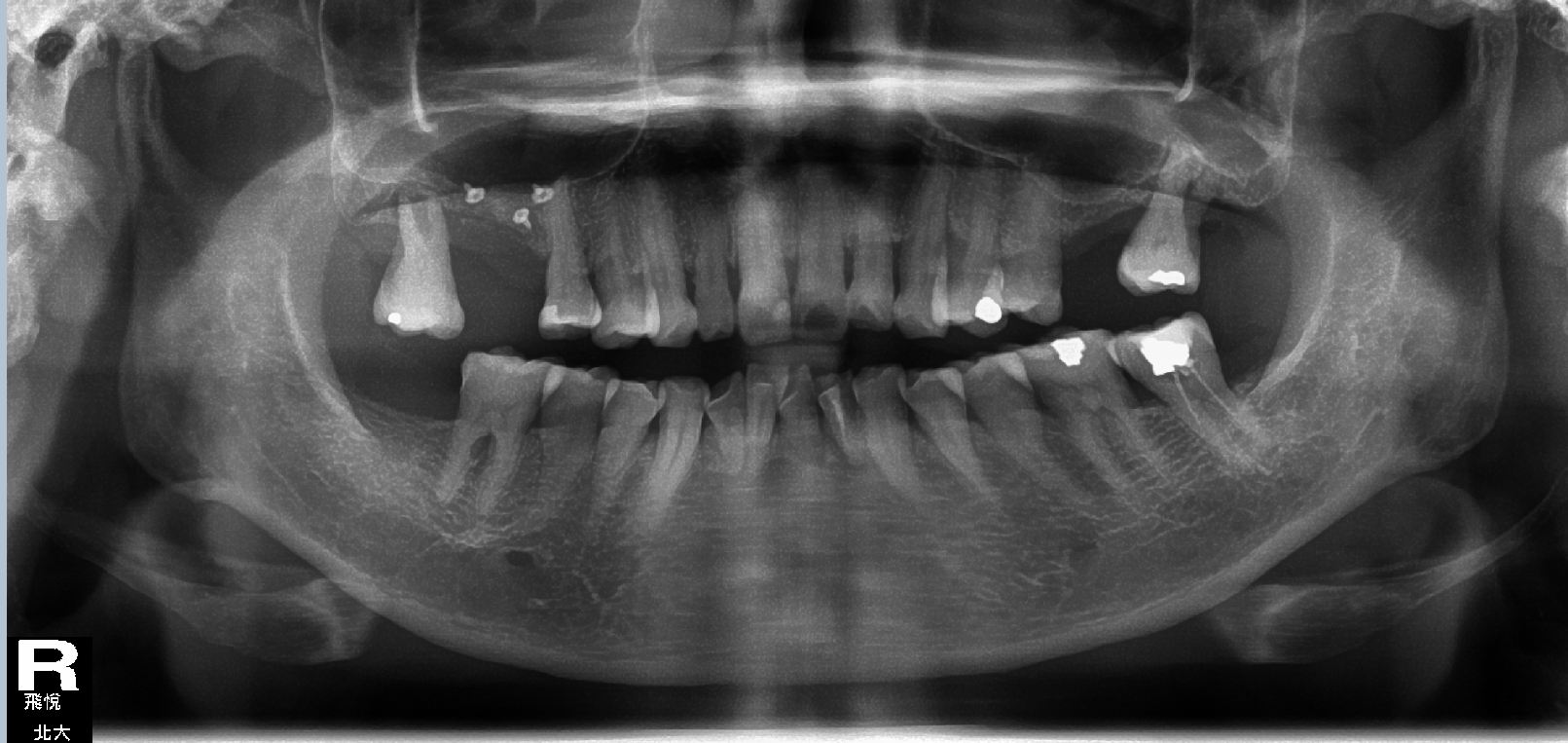
飛悅.北大牙醫聯合診所「從齒,我們想得比您更遠」 Beyond Dental Clinic 植牙+鼻竇增高手術**一次完成 首頁 診療項目 人工植牙 植牙+鼻竇增高手術**一次完成 案例分享 植牙+鼻竇增高手術~一次完成 看看我們的蘇醫師多麼專注的樣子~~ 其實手術沒有大家想像中的困難 今日手術時間才1小時喔! ×
植牙+鼻竇增高手術**一次完成 首頁 診療項目 人工植牙 植牙+鼻竇增高手術**一次完成 案例分享 植牙+鼻竇增高手術~一次完成 看看我們的蘇醫師多麼專注的樣子~~ 其實手術沒有大家想像中的困難 今日手術時間才1小時喔!